유방암클리닉

점점 늘어나는 유방암 발병률 연간 신규 유방암 환자 2만8천명

여성 암 중 26%나 차지하는 유방암, 꼭 정기검진 받으세요.

여성건강의 가장 큰 위협, 유방암

  • 유방암은 유방에 발생하는 암세포로 이루어진 종괴를 의미하며 일반적으로 유방의 유관과 유엽에서 발생합니다.
  • 유방암은 유방조직 어디서든지 발생할 수 있어 다른 암에 비해 종류가 다양합니다.
  • 저출산, 초임의 고령화가 진행되면서 유방암 발병률이 급속도로 증가하고 있습니다.
  • 2020년대 들어 연간 유방암 초진 환자는 매년 2만9천명에 육박할 정도이며, 이는 자궁체부 및 난소암(7천명)을 합한 수보다 훨씬 많은 수입니다.(갑상선암 제외 연간 신규 환자 10만7천명)
  • 중요한 것은은 조기 발견과 검진이 유방암 치료와 생존률을 크게 향상시킬 수 있다는 것입니다.

유방결절

유방결절유방혹 또는 유방물혹이라고도 하며, 유방 조직 내에서 발생하는 덩어리나 혹을 의미합니다. 여성호르몬 등 다양한 원인에 의해 발생하는 유방결절은 피부 바로 밑이나 심부 깊숙한 곳 등 다양한 곳에서 나타나며 양성(비암성), 악성(암성)으로 나뉩니다.

섬유선종(Fibroadenoma)

가장 흔한 양성 유방 결절 중 하나로, 젊은 여성에서 많이 발견되고, 유방 조직과 섬유 조직으로 이루어진 경계가 뚜렷한 매끄러운 편이며, 통증이 거의 없고, 손으로 만졌을 때 잘 움직이는 경향이 있습니다.

유방 낭종(Cyst)

액체가 차 있는 주머니 모양의 구조물로, 주로 생리 주기와 관련된 호르몬 변화에 의해 발생합니다. 만졌을 때 부드럽고, 크기가 변화하는 경우가 많습니다.

유방암(Breast Cancer)

유방 조직 내에 발생하는 악성 종양으로, 결절이 딱딱하고 경계가 불분명하며, 통증이 동반되지 않을 수 있습니다.

지방 괴사(Fat Necrosis)

유방 조직 내 지방세포가 손상되어 발생하는 양성 결절로, 외상이나 수술 후에 발생하기도 하고, 딱딱한 덩어리로 느껴질 수 있습니다.

유방암의 종류

침윤성 유관암

유방암의 75~80%를 차지하는 유형으로, 유관을 이루는 세포에서 기원한 암이 유관의 기저막을 침범했을 때

침윤성 소엽암

전체 유방암의 5~10%정도를 차지하며, 소엽을 구성하는 세포에서 기원한 암으로 침윤성 유관암 비슷한 예후를 보이지만, 다발성이나 양측성의 빈도는 더 높다고 보고되고 있습니다.

유관 상피내암(비침윤성)

유관 세포에 생겼으나 유관 기저막을 침범하지 않았기에 0기 암 또는 제자리암 이라고도 불립니다. 침윤성 유방암보다 훨씬 예후가 좋지만, 암세포가 기저막을 뚫고 성장하면 침윤성 유관암으로 진행할 위험이 있습니다.

소엽 상피내암(비침윤성)

소엽 세포에서 생겨났지만, 소엽 기저막을 침범하지 않은 암 발생의 위험인자로 여겨집니다. 비교적 젊은 연령에서 흔히 발생하며, 이 역시 암세포가 성장할 경우, 침윤성 유관암이나 침윤성 소엽암으로 진행될 수 있습니다.

유방암의 위험요인

  • 유방암 가족력이 있는 경우
  • 40대 이후의 여성
  • 초경 연령이 14세 이전인 경우
  • 폐경 연령이 50세 이후인 경우
  • 만삭 분만을 한 번도 경험하지 않은 경우
  • 첫 만삭 분만이 35세 이후인 경우
  • 모유 수유를 하지 않은 경우
  • 체중이 63kg 이상, 혹은 BMI가 25 이상인 여성

유방암 검진과 진단

국가건강검진에서 시행하는 국가 암검진 프로그램에서 만 40세 이상의 여성에게 2년에 한번 검진을 시행하고 있으며, 매달 유방 자가검진을 확인해 보는 것도 조기 발견에 도움이 됩니다. 유방암은 자가 검진과 임상 진찰, 방사선 검사를 통한 유방 촬영술 및 유방 초음파술, 생검 등을 통해 진단할 수 있습니다.

유방암 치료

유방암 치료의 주축인 수술과 약물, 방사선치료가 이루어집니다. 종양의 상태에 따라 다르지만, 대부분 항호르몬 요법과 항암화학요법을 각각 또는 함께 시행하게 됩니다. 암 조직을 절제하는 수술이나, 수술 부위의 재발을 예방하기 위한 방사선 치료, 항암치료, 항호르몬 치료를 시행할 수 있습니다.

유방초음파 검사

우리나라 여성의 20% 정도가 유방촬영시 치밀유방으로 판정되어 유방 초음파 검사가 추가로 필요합니다. 치밀유방은 폐경전 여성의 대부분, 폐경여성의 일부에서 주로 관찰되는데, 치밀유방이란 이상유무를 말하는 것이 아니라 유방 조직이 지방이 적고 대부분 유선조직, 섬유성기질로 단단하게 이루어져 있어서 유방촬영시 사진이 하얗게 나와 멍울의 유무를 알기 힘든 상태를 말합니다. 아래 유방 X-레이 사진에서 우측 치밀유방은 좌측에 비해 확인이 어려운 것을 알 수 있습니다.

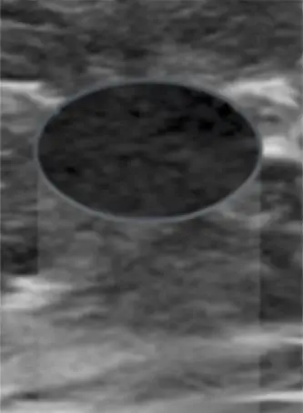
낭종(Cyst)

무에코 패턴
타원형 또는 원형
경계가 뚜렷한 가장자리
수평 방향
후방 에코 증강
석회화 없음

섬유선종(Fibroadenoma)

저에코성
보통 타원형 또는 원형(간혹 분엽형)
경계가 뚜렷한 가장자리
수평 방향
가끔 미세한 후방 에코 증강간혹 큰 석회화 발견

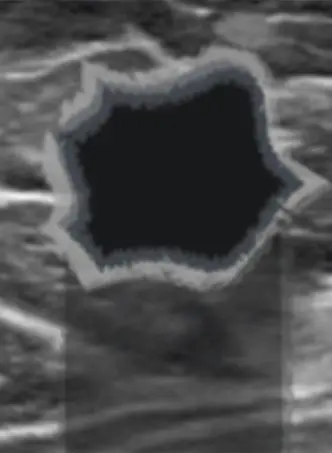
암(Cancer)

저에코성
일반적으로 불규칙한 모양
원형 또는 타원형도 있음
불분명확한 경계, 각형, 미세엽상, 침상경계
수직방향
자주 후방 에코 증강
덩어리 내외부에 작은 석회화 발견

유방암 자가촉진검사

유방암 자가촉진검사는 스스로 유방을 만져보며 혹이나 비정상적인 변화가 있는지 확인하는 방법입니다. 한달에 한번 자가촉진검사를 통해 초기 징후를 발견할 수 있으며, 특히 정기적으로 시행할 경우 자신의 유방 상태를 잘 파악하고 변화가 생겼을 때 신속하게 대응할 수 있습니다.