폐암클리닉
조기 폐암 검진
폐암 예방과 조기 치료를 위한 저선량 폐CT
비교적 안전한 저선량 폐CT로 폐암을 조기에 발견할 수 있습니다.
폐암
폐암(Lung Cancer)은 폐에서 발생하는 악성 종양으로, 국내에서는 물론 전 세계적으로 암 사망률 1위를 차지하는 심각한 질병입니다. 폐암은 발생 위치와 조직에 따라 비소세포 폐암(NSCLC), 소세포 폐암(SCLC)으로 나누기도 합니다.
| 구분 | 비소세포 폐암(NSCLC) | 소세포 폐암(SCLC) |
|---|---|---|
| 발생 비율 | 약 85% | 약 15% |
| 성장 속도 | 비교적 느림 | 매우 빠름 |
| 주된 원인 | 흡연, 대기 오염, 유전 | 주로 흡연 |
| 치료 방법 | 수술, 항암제, 방사선, 표적·면역 요법 | 항암제, 방사선 치료 |
| 전이 속도 | 느리게 전이 | 빠르게 전이 |
| 예후 | 조기 발견 시 예후 양호 | 예후가 상대적으로 불량 |
- 비소세포 폐암
- 비소세포 폐암(NSCLC)은 전체 폐암의 약 85%를 차지하며, 선암, 편평상피세포암, 대세포암 등이 포함됩니다. 비교적 천천히 성장하며 조기 진단을 통해 완치를 기대할 수 있습니다
- 소세포 폐암
- 소세포 폐암(SCLC)은 성장 속도가 매우 빠르고 덩어리가 크며 전이가 잘 되는 특징이 있고 예후가 대체로 좋지 않습니다.
- 폐암의 원인
- 가장 주요한 원인은 흡연이고, 그 외에도 주방 등 공기가 좋지 않은 곳에서의 장기간 작업, 간접흡연, 대기 오염, 방사선 노출, 유전적 요인 등이 폐암의 원인으로 작용할 수 있습니다.
- 폐암의 증상
- 폐암은 초기 단계에서 증상이 없거나 경미해 발견이 어려울 수 있습니다. 그러나 암이 진행되면서 지속적인 기침, 호흡 곤란, 흉통, 객혈(피가 섞인 가래), 체중 감소 및 피로감 등이 나타날 수도 있습니다.
조기 폐암 검진, 저선량 폐CT(LDCT) 진단의 중요성
폐암을 예방하기 위해서는 무엇보다 금연이 필수입니다. 또한 대기환경이 나빠지다 보니 가능한 깨끗한 공기질을 유지하는 것도 매우 중요합니다. 하지만 의외로 많은 경우 간과되는 것이, 무의식중에 나쁜 공기질 속에서 무방비로 노출되는 작업자들의 폐건강입니다. 실제 밀폐된 주방 가운데 오랫동안 일을 하거나 마스크를 착용하지 않은 노동자들의 경우 폐암에 걸릴 확률을 급격히 높아질 수 있습니다. 주방의 경우 환기를 최우선으로 해야 하고, 먼지가 많은 작업환경에서 방진마스크는 필수입니다.
- 흉부X-레이 촬영
- 매년 국민건강검진을 통해 시행되는 가장 기본적이고 간단한 검사법이지만 입체적으로 세밀하게 관찰하기가 어려워, 조기 폐암의 경우 발견이 쉽지 않습니다.
- 저선량 흉부CT
- 조기 폐암 환자의 대부분은 검진에서 시행되는 저선량 흉부CT에서 발견되지만, 국민건강검진 시행도 얼마되지 않았고, 54~74세 고위험군에 한해 격년제로 시행되고 있어 발견 비율은 아쉽게도 10% 내외에 불과합니다.
- 저선령CT의 장점
- 방사선 노출 감소로 비교적 안전하여 고위험군 진단에 매우 유용합니다. 유전적 요인이 있거나, 흡연자, 장기간 간접흡연 노출자, 작업환경의 공기질이 좋지 않을 경우 적극적인 상담을 통해 정기적인 저선량 폐CT가 필요할 수 있습니다.
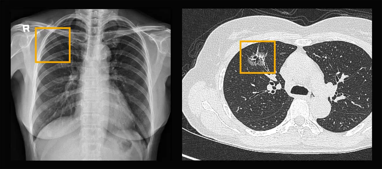
일반 X-레이 촬영과 저선량 폐CT 사진 비교
본원에 내원하신 무증상의 60대 여성(과거 흡연 후 금연 10년차)의 경우, 좌측 흉부X-레이 촬영에서는 특이 소견이 발견되지 않았으나, 문진 후 저선량 폐CT 촬영을 통해 폐 선암을 확인할 수 있었습니다.